Transcrestal Sinus Floor Elevation

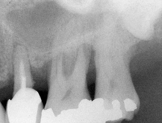
At 10 months after surgery the hard and soft tissues were stable and a full ceramic crown was placed.
Transcrestal sinus floor elevation. To overcome vertical deficiency of atrophic posterior maxilla sinus floor elevation either through a transcrestal approach or a lateral approach has been used for several decades. The purpose of the present study is to present data on the clinical outcomes and postoperative morbidity of sinus floor elevation procedures performed using the. Recently we proposed a minimally invasive technique to limit the postoperative morbidity of transcrestal sinus floor elevation procedures. 1 2 the transcrestal approach is considered to be a less invasive.
The technique is based on the use of specially designed drills and osteotomes. With this technique the regeneration of a substantial amount of new bone is a predictable outcome only in narrow sinus cavities. During presurgical planning bucco palatal sinus width should be regarded as a crucial parameter when. Immediate implant and endoscope guided sinus floor elevation through a transcrestal approach by using prf as the only grafting material is viable in periapical infected sites with a rbh of less than 1 mm.
Number of times cited according to crossref. Transcrestal sinus floor elevation has no negative effect on the long term implant survival. Membrane perforation or negligible bone height however reduces the probability of 10 year survival.